 吴光弛 教授 首都儿科研究所儿童营养研究室研究员,在儿科临床、儿童保健及营养诸领域从事科研四十余年,研究领域涉及城市和农村儿童保健儿童营养与发育等。(左图)
关立夫 教授 首都儿科研究所放射科主任医师,从事儿科放射学专业42年,现任中华医学会放射学会北京分会委员,曾参与编写(实用儿科放射诊断学)等书。(右图)
观众朋友们,您们好!这里是中央电视台《健康之路》直播节目,今天我们来聊的是青少年生长发育方面的问题。
主持人:人的一生中有哪几个时期是属于生长得比较快的时期呢? 吴光弛:从出生到20岁左右是一个连续不断的生长过程,其中有三个时期发育比较快1、胎儿时期,这一时期母亲的营养状况决定了胎儿的发育。2、婴幼儿时期。3、青春期。
主持人:母亲如果在怀孕期间感染了病毒,会影响到孩子的身高吗? 关立夫:感染病毒对孩子的影响是很大的,包括疱疹病毒、风疹病毒等都可以影响到孩子的发育。

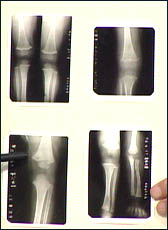
主持人:有的孩子在12-13岁时长得很快,但到了13-14岁时长高速度就明显减慢,这是什么原因? 关立夫:小儿身高的生长主要依靠的是骨骼的生长,骨骼有两部分的生长影响身高1、脊柱、颈椎、胸椎、腰椎。2、长骨、股骨、胫骨、主骨。小孩的骨头分两部分即骨干和骨骺,骨干和骨骺之间有一个缝叫软骨,软骨可以不断增殖和钙化。来看一张下肢的X光片,长的是骨干,小的是骨骺,不断的生长是有规律的,到了青春期以后(18岁以后)软骨部分就会变得越来越窄,从一张手的X光片中可以看到当骨骺和骨干愈合后就不会再生长了,身高也就停止了。
主持人:为什么一般女孩子停止生长的时期要比男孩早? 吴光弛:这是因为女孩的青春发育期比较早,通常在11-12岁就开始了,男孩通常到了12-14岁才开始发育,因此往往是在早期女孩的身高发育强于男孩,但随着发育的进行男孩的身高发育要明显强于女孩。 关立夫:通常男孩的骨骺闭合时间在18岁左右,女孩在17岁左右,女孩比男孩要提前,所以女孩要比男孩矮一些。
主持人:遗传因素对于孩子的身高增长是唯一因素吗? 吴光弛:遗传因素代表了孩子的生长潜力,但是孩子的生长是受到很多因素影响的包括营养、锻炼、睡眠、疾病、心理等。如果孩子的后天因素都比较好,孩子的身高发育也就会比较满意。
主持人:为什么睡眠会对身高有影响? 吴光弛:人的身高增长很重要的一个因素就是内分泌,特别是生长激素的水平,如果生长激素的水平很高那么身高的增长速度就快,如果生长激素的水平低,身高的增长也就相对较慢。人的生长激素的分泌是脉冲式的,脉冲的表现白天与晚上是有区别的,晚上比白天要高,特别是凌晨时段脉冲表现是最高的。因此保证良好的睡眠对于儿童的生长发育是很重要的。
主持人:那么对于处于生长发育期的孩子需要多长时间的睡眠对孩子最有利? 吴光弛:睡眠时间长短与孩子的年龄是有关系的,比如新生儿除了吃奶几乎都处于睡眠状态大约每天需要19小时左右的睡眠时间,随着年龄的增长睡眠时间逐渐减少,6岁以后睡眠时间应该在10个小时左右,一直到小学毕业睡眠时间不要低于9个小时,进入中学后也不应该低于8个半小时。
主持人:北京何女士 38岁 刚才专家讲,睡眠、饮食和运动对于孩子的生长很重要,那么吃什么样的食品可以让孩子长得更高? 吴光弛:我们主张均衡的饮食,应该充分保证孩子每天所需的热量、蛋白质、脂肪、糖类、维生素、矿物元素等。蛋白质构成了人体的基本器官、组织和细胞,因此蛋白质的供应一定要很充分,富含蛋白质的食物包括肉类(瘦肉)、牛奶、豆制品、鸡蛋、鱼等。 关立夫:营养如果不平衡就可能引发很多疾病,而疾病的发生就会影响到孩子的生长发育。比如有的孩子挑食不吃蔬菜和水果只吃麻花、油条等淀粉类的食物,结果由于缺乏维生素C得了一种病叫做坏血病。还有吃含糖多的事物也会影响孩子的发育。缺钙和维生素D也会影响到孩子的发育如罗圈腿。应该均衡地摄入六大元素即蛋白质、糖、脂肪、矿物质、水、纤维素。特别提醒一句,方便面里面主要是糖,没有更多的蛋白质和维生素,如果天天吃肯定会影响到孩子的生长发育。 吴光弛:有些矿物元素对身体的发育有特殊的效用,比如缺乏锌就会引起食欲不好,直接影响到生长发育,所以很多严重缺锌的孩子身高都很矮。还有碘与甲状腺的关系密切,甲状腺是调节人体代谢的很重要的激素,如果缺碘就会使甲状腺分泌不足,影响到身体发育,因此我国大力提倡碘盐,这样可以保证儿童的健康成长。
主持人:太胖的孩子是不是也长不高? 关立夫:太胖的孩子如果影响到了骨龄,发育开始阶段可能骨龄是加速的,那么骨龄的愈合年龄就会提前,因此在发育开始阶段可能比其他孩子高,到了后期生长速度就会比其他孩子慢。
主持人:经济条件不好的地区如果不能摄入足够的肉类,怎样补充蛋白质? 吴光弛:肉类含蛋白质是很丰富的,但也可以通过其他食物来补充蛋白质如豆类、鸡蛋等。
主持人:四川李先生 43岁 牛奶里含有丰富的钙,而钙又能很好地促进骨骼生长,那么对于生长期的孩子来讲,每天喝多少牛奶能够补充充足的钙? 吴光弛:根据全国调查结果,每人每天钙的摄入量相当于需要摄入量的一半,也就是应该在800毫克左右但是目前普遍只有400毫克。一般来说1毫升牛奶就含有1毫克钙,通俗一点讲就是对于生长期的孩子每天大约需要喝一大杯牛奶。另外维生素D是促进钙吸收最有利的因素,因此在喝牛奶的同时应该保证充足的维生素D的摄入,相对含有维生素D较多的食物有鱼肝油、蛋黄,还可以通过晒太阳补充维生素D,所以孩子应该多进行户外活动。
主持人:河南王先生 35岁 我儿子今年9岁半,体重70斤、身高1米25,与正常值相比体重超重10斤、身高低10厘米,我们家有家族生长发育延缓史,请问专家可以做生长素刺激实验吗? 吴光弛:是可以做的。孩子还有生长的希望,可以在内分泌门诊检查这种生长希望到底有多大。可以通过实验看看孩子对激素有没有反应,如果有积极的反应就可以服用激素帮助长高。
主持人:北京杨女士 50岁 我女儿13岁时身高1米5,但在检查中她的骨龄已有18岁了。今年15岁,身高1米52,请问为什么会有18岁的骨龄,她还有长高的可能吗? 关立夫:孩子的身高增长机会不会很大了,因为骨龄到了18岁骨骺和骨干就基本愈合了,只会有轻微的增大,长长就比较困难了。
主持人:哪种运动对身高的促进最大?运动量如何掌握? 吴光弛:一般来说球类运动、跑步、游泳等有利于孩子长高,某些无氧运动如举重是不利于孩子的生长的,运动量不要太大,运动还有助于饮食和睡眠,并且还可以促使骨头的密度增高。
主持人:山西陈女士 42岁 用什么样的方法能够预测孩子的身高? 关立夫:可以到门诊照一张骨龄的片子(手部),身高与骨龄等其他因素相结合就可以预测出孩子的身高。
主持人:江苏周女士 19岁 我身高只有1米53,出生时医院发了病危通知单,而且我的心脏有早搏现象,体质不好,请问这种情况是否会影响到我的身高?我还能再长吗? 吴光弛:最好到医院进行骨龄检查。虽然已经19岁了,如果骨骺与骨干没有愈合好,还是有长高的可能,但是一般来讲19岁女孩还可以长高的可能性不是很大。
主持人:河北伍先生 47岁 我儿子今年15岁,身高1米44,经检查雄激素太低,只有常人的十分之一,体质正常,请问有办法使他长高吗? 关立夫:孩子现在正处于高速增长的青春期阶段,雄激素容易促进骨骺愈合,因此雄激素低是有利于孩子长高的。另外雄激素低也有可能是垂体功能低下引起的,这样就可能造成生长激素分泌较少,也会影响到身高。应该通过CT片或核磁看看是否垂体有问题,如果垂体有问题可以治疗。
主持人:湖北朱同学 14岁 我现在的身高不是很理想,想再长高一些,吃长高药有副作用吗?进入青春期会不会影响长高? 吴光弛:孩子的年龄还处在长高的年龄,可以通过后天因素的改善促进孩子长高如充足的营养、合理的运动量、充足的睡眠、减少疾病等。市面上目前还没有一种长高药能明显帮助长高。
主持人:医院联系电话(010)65127766-5365;门诊时间:吴光弛 周一、五上午 关立夫 周二、五上午。
|